Melanoma Sincrono: Caso clinico e considerazioni dermoscopiche
Vi riporto il caso clinico di un ragazzo di 28 anni, fototipo I, in buono stato di salute generale.
All’esame obiettivo cutaneo presentava:
- Regione addominale: lesione pigmentata bruno-irregolare, rilevata al centro, con limiti sfumati, modificatasi nell’ultimo anno.
- Braccio sinistro: lesione pigmentata nodulare, bruno-rossastra, moderatamente ulcerata.
Anamnesi familiare negativa per melanoma.

Valutazione dermoscopica
Lesione addominale
La lesione melanocitaria addominale mostrava un pattern multicomponente, con marcata asimmetria di forma, strutture e colori.
Nell’area non palpabile erano evidenti punti/globuli irregolari, dal marrone-brunastro al grigio-nerastro.

Nella porzione palpabile si osservavano:
- aree globulari rossastre e rosso-lattescenti
- velo biancastro
- numerose strie biancastre disposte prevalentemente in modo ortogonale
Lesione nodulare del braccio sinistro
La neoformazione nodulare presentava:

- grosse strutture globulari rossastre e rosso-lattescenti delimitate da setti biancastri
- pattern vascolare polimorfo con vasi lineari irregolari, vasi a forcina irregolari e vasi glomerulari
- aree opache giallo-brunastre in corrispondenza dell’ulcerazione
- area periferica con reticolo brunastro e strie periferiche
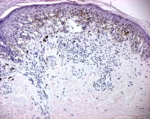
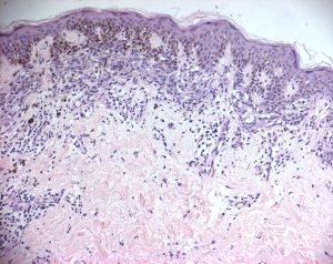
Esame istologico

Entrambe le lesioni sono state sottoposte ad asportazione chirurgica.
- Lesione addominale: melanoma a diffusione superficiale a cellule fusate, con discreta risalita intraepidermica (Melanoma Livello II, 0,7 mm secondo Breslow).
- Lesione del braccio sinistro: melanoma in fase verticale di invasione (Melanoma Livello III, 2,2 mm secondo Breslow).

Melanoma sincrono: definizione e epidemiologia
Il melanoma sincrono rappresenta una condizione rara ma clinicamente rilevante.
La definizione non è univoca:
- per la maggior parte degli autori, sono sincroni i melanomi diagnosticati entro 3 mesi;
- per altri, l’intervallo si riduce a 1–2 mesi.
Circa il 30% dei pazienti riceve la diagnosi del secondo melanoma entro 1–3 mesi; nel 60% dei casi il secondo melanoma insorge invece dopo 3 anni (metacrono).
L’incidenza varia tra 1,1% e 2,5% dei pazienti con melanoma.
Risulta più frequente in soggetti maschi, giovani e con fototipo chiaro (I–II).
Fattori di rischio
I principali fattori predisponenti includono:
- storia personale di melanoma
- predisposizione genetica/familiare
- presenza di nevi atipici
- esposizione solare acuta
Dal punto di vista genetico, CDKN2A è il locus maggiormente associato ai melanomi multipli: circa il 16,3% dei pazienti con melanomi multipli presenta mutazioni di CDKN2A.
Localizzazione delle lesioni
Il secondo melanoma primitivo tende a svilupparsi in sedi anatomiche diverse rispetto al primo, nonostante sia stata osservata una concordanza di localizzazione superiore a quella attesa casualmente.
Ciò suggerisce una possibile suscettibilità cutanea dell’area adiacente al primo melanoma.
Non è ancora chiaro quale regione corporea presenti la più alta percentuale di concordanza (testa/collo, tronco, estremità).
Caratteristiche dei melanomi multipli
Studi recenti evidenziano che i melanomi secondari primari presentano spesso uno spessore secondo Breslow simile o inferiore al primo melanoma, evidenziando l’importanza del follow-up precoce e accurato.
Sono stati associati a melanomi multipli con pattern dermoscopici simili:
- età avanzata (>65 anni)
- danno attinico
- insorgenza sincrona
- spessore comparabile
Al contrario, melanomi multipli dermoscopicamente differenti sono associati a:
- giovane età
- anamnesi familiare positiva
- assenza di danno attinico
- insorgenza non sincrona
- spessore differente
Follow-up e gestione clinica
In presenza di un secondo melanoma cutaneo primitivo, si applicano le stesse linee guida previste per il melanoma singolo.
Il follow-up deve essere determinato in base alla stadiazione più elevata tra i melanomi diagnosticati.
La maggiore predisposizione dei pazienti con storia personale di melanoma richiede:
- esame accurato dell’intera superficie cutanea
- controlli ogni 3–6 mesi nei primi due anni
- attenzione particolare in presenza di fattori di rischio
Dottoressa Carlotta Gasparini
Bibliografia
(1) Johnson TM et al. Multiple primary melanomas. J Am Acad Dermatol 1998;39:422-427
(2) Ariyan S et al. Multiple primary melanomas: data and significance. Plast Reconstr Surg 1995;96:1384-1389
(3) Puig S et al. Role of the CDKN2A locus in patients with multiple primary melanomas. J Clin Oncol 2005;23:3043-51
(4) Stam-Posthuma JJ et al. Multiple primary melanoma. J Am Acad Dermatol 2001;44(1):22-7
(5) Betti R et al. Really synchronous cutaneous melanomas: serendipity or need for prevention? Eur J Dermatol 2009;19(3):258-9
(6) Moscarella E et al. Multiple primary melanomas: do they look the same? Br J Dermatol 2013;168:1267-1272
